Before and After
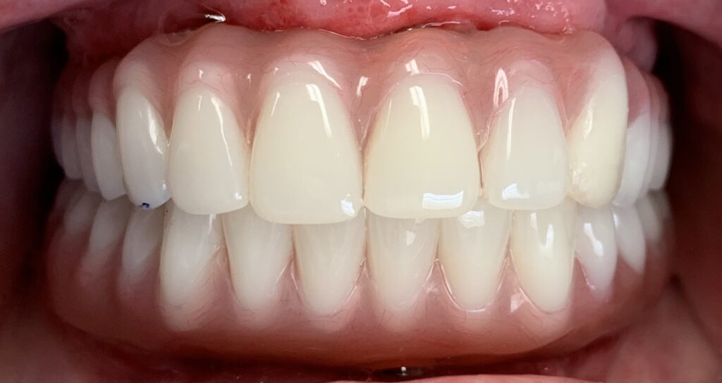
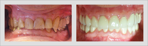
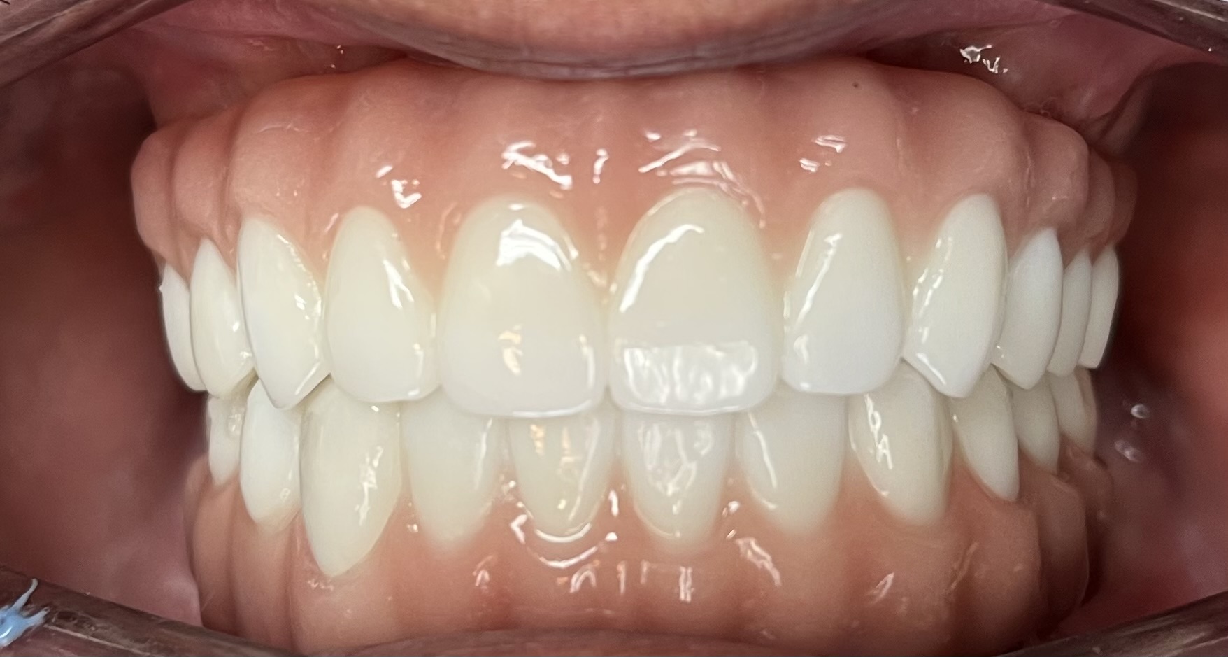
Here are a few of our patient’s before and after photos. Actual results may vary.









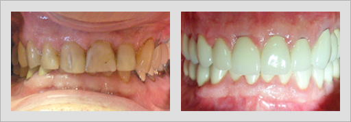
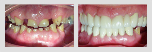
Here are a few of our patient’s before and after photos. Actual results may vary.


















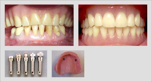
Before and after all on 5 implants on the upper, 4 implants on the lowers with titanium milled bar raped with Zirconia teeth
Implant, Abutment & Crown for $3000, X-ray and consultation are free, includes CT scan when treatment is accepted (when insurance company is not accepted).
For new patients with no insurance. No insurance? No Problem! We will offer 10% Discount, for self-pay patients.
We also Accept Care Credit!