All-on-4 Dental Implants in Parma, OH
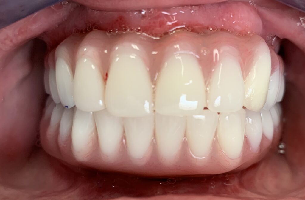
All on 4 dental implant dentures is a state-of-the-art innovative procedure that provides patients permanent attached (fixed) teeth utilizing as few as four dental implants.
If you are about to lose or have lost all your upper and/or lower teeth, we can give you new teeth in as little as one day by using the all on four dental implants technique.
Why All-on-4 dental implants?
The all-on-4 dental implants treatment technique is designed to replace an entire arch of missing teeth with four implants, hence the name All on 4.
The all-on-4 dental implants treatment concept was developed to provide endentulous patients with an efficient and effective restoration using only four dental implants to support an immediately loaded full-arch prosthesis.
All-on-four is a new alternative for patients that want to replace damaged, unsightly, loose teeth or dentures with new fixed dental implants.
Who should consider All-on-4 Dental Implants?
People with several failing or missing teeth.
People who are in need of multiple dental implants.
People who wear dentures.
Four Dental Implants
With the All-on-4 dental implants procedure, qualified patients receive a minimum four implants and a full set of new replacement teeth in just one appointment. The real appeal is how quickly permanent implants can be placed, while you sleep, so that patients can leave the same day with fixed, non-removable replacement teeth.
